Studio Dentistico Dr Veronesi Piombino
Home
Studio
Prestazioni
Casi Clinici
Il tuo dentista informa
Approfondimenti
Contatti
X
+39 0565.33176
Tag:
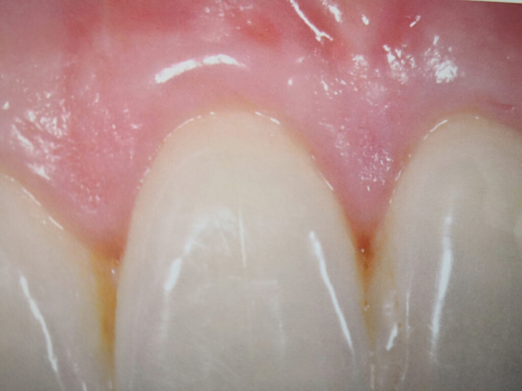
Tecnica a Tunnel per recessioni
Tecnica a Tunnel per recessioni
Tecnica a Tunnel per recessioni