Studio Dentistico Dr Veronesi Piombino

Tecnica a Tunnel per recessioni

Data

 

 

1 – Recessione incisivo centrale superiore
2 – Tecnica a tunnel con innesto di connettivo
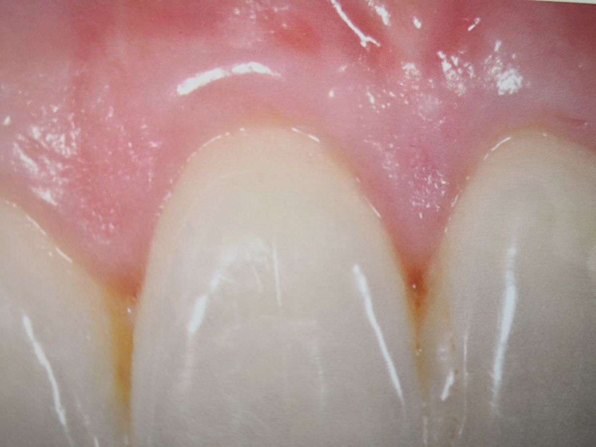
3 –  Rimozione suture dopo 2 settimane
4 – Guarigione a 3 mesi

Foto tratte dalla letteratura