Studio Dentistico Dr Veronesi Piombino
Home
Studio
Prestazioni
Casi Clinici
Il tuo dentista informa
Approfondimenti
Contatti
X
+39 0565.33176
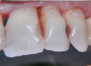
Trattamento n° 14 – Ripristino Estetico con faccette in ceramica
Home
Caso Clinico
Data
24.11.22
Ripristino Estetico con faccette in ceramica
Prima e Dopo