Studio Dentistico Dr Veronesi Piombino
Home
Studio
Prestazioni
Casi Clinici
Il tuo dentista informa
Approfondimenti
Contatti
X
+39 0565.33176
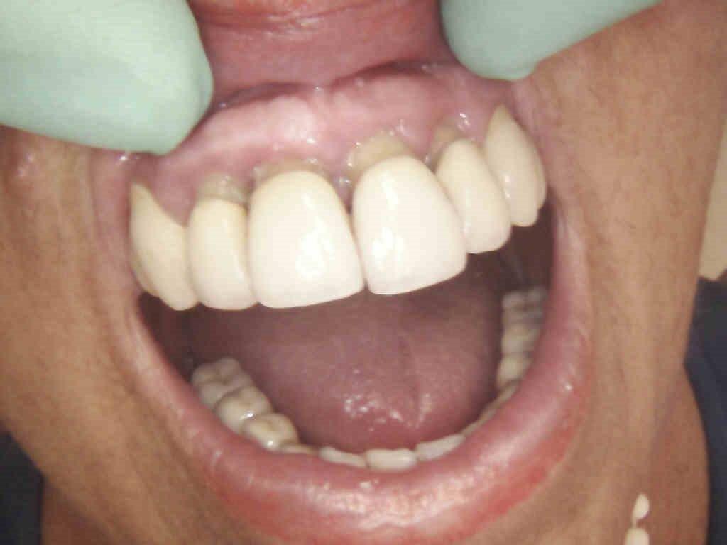
Riabilitazione implanto protesica zona incisivi superiori
Home
Caso Clinico
Data
05.07.18
1 – Aspetto precura dell’arcata superiore sinistra
2 – Aspetto precure dell’arcata superiore destra
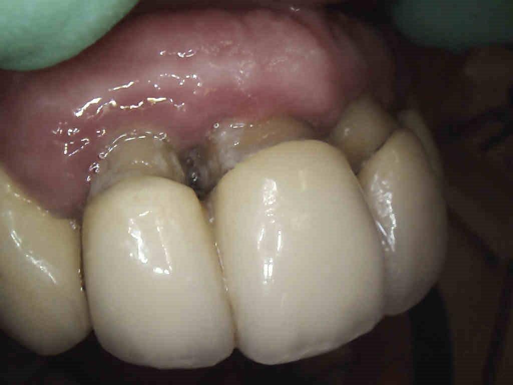
3 – Aspetto precura zona incisivi superiori
4 – Inserimento impianti e ricostruzione ossea zona incisivi superiori