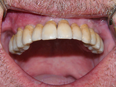
Riabilitazione fissa su impianti arcata superiore
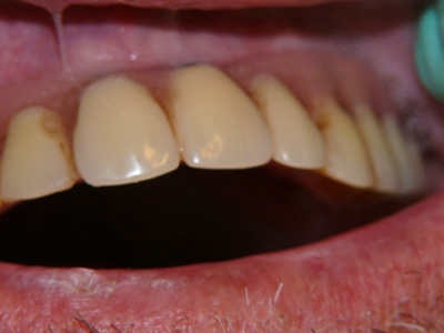
1 Protesi totale superiore che il paziente portava prima della riabilitazione fissa su impianti – 2 Protesi totale superiore nel cavo orale che il paziente portava prima della riabilitazione – 3 Impianti in fase di guarigione arcata superiore – 4 Monconi protesici avvitati su impianti lato destro – 5 Monconi protesici avvitati su impianti lato sinistro – 6 Manufatti protesici arcata superiore – 7 Riabilitazione fissa su impianti arcata superiore fase finale






